python可以运用在各行各业中,详细这样的slogan很多小伙伴都在各种python培训课上看到过,那么python是怎么应用在各行各业中的呢?以医学为例,python在医学处理应用上很多都是使用类似图像识别图像处理的相关功能来辅助医生进行医学图像的辅助判断。在这方面OpenCV是最常应用在医学处理应用上的。今天小编就简单地来介绍一下这种利用图像识别处理来进行辅助判断是怎么实现的吧。
题目描述
利用opencv或其他工具编写程序实现医学处理。
实现过程
# -*- coding: utf-8 -*-
'''
作者 : 丁毅
开发时间 : 2021/5/9 16:30
'''
import cv2
import numpy as np
# 图像细化
def VThin(image, array):
rows, cols = image.shape
NEXT = 1
for i in range(rows):
for j in range(cols):
if NEXT == 0:
NEXT = 1
else:
M = int(image[i, j - 1]) + int(image[i, j]) + int(image[i, j + 1]) if 0 < j < cols - 1 else 1
if image[i, j] == 0 and M != 0:
a = [0]*9
for k in range(3):
for l in range(3):
if -1 < (i - 1 + k) < rows and -1 < (j - 1 + l) < cols and image[i - 1 + k, j - 1 + l] == 255:
a[k * 3 + l] = 1
sum = a[0] * 1 + a[1] * 2 + a[2] * 4 + a[3] * 8 + a[5] * 16 + a[6] * 32 + a[7] * 64 + a[8] * 128
image[i, j] = array[sum]*255
if array[sum] == 1:
NEXT = 0
return image
def HThin(image, array):
rows, cols = image.shape
NEXT = 1
for j in range(cols):
for i in range(rows):
if NEXT == 0:
NEXT = 1
else:
M = int(image[i-1, j]) + int(image[i, j]) + int(image[i+1, j]) if 0 < i < rows-1 else 1
if image[i, j] == 0 and M != 0:
a = [0]*9
for k in range(3):
for l in range(3):
if -1 < (i-1+k) < rows and -1 < (j-1+l) < cols and image[i-1+k, j-1+l] == 255:
a[k*3+l] = 1
sum = a[0]*1+a[1]*2+a[2]*4+a[3]*8+a[5]*16+a[6]*32+a[7]*64+a[8]*128
image[i, j] = array[sum]*255
if array[sum] == 1:
NEXT = 0
return image
array = [0, 0, 1, 1, 0, 0, 1, 1, 1, 1, 0, 1, 1, 1, 0, 1,
1, 1, 0, 0, 1, 1, 1, 1, 0, 0, 0, 0, 0, 0, 0, 1,
0, 0, 1, 1, 0, 0, 1, 1, 1, 1, 0, 1, 1, 1, 0, 1,
1, 1, 0, 0, 1, 1, 1, 1, 0, 0, 0, 0, 0, 0, 0, 1,
1, 1, 0, 0, 1, 1, 0, 0, 0, 0, 0, 0, 0, 0, 0, 0,
0, 0, 0, 0, 0, 0, 0, 0, 0, 0, 0, 0, 0, 0, 0, 0,
1, 1, 0, 0, 1, 1, 0, 0, 1, 1, 0, 1, 1, 1, 0, 1,
0, 0, 0, 0, 0, 0, 0, 0, 0, 0, 0, 0, 0, 0, 0, 0,
0, 0, 1, 1, 0, 0, 1, 1, 1, 1, 0, 1, 1, 1, 0, 1,
1, 1, 0, 0, 1, 1, 1, 1, 0, 0, 0, 0, 0, 0, 0, 1,
0, 0, 1, 1, 0, 0, 1, 1, 1, 1, 0, 1, 1, 1, 0, 1,
1, 1, 0, 0, 1, 1, 1, 1, 0, 0, 0, 0, 0, 0, 0, 0,
1, 1, 0, 0, 1, 1, 0, 0, 0, 0, 0, 0, 0, 0, 0, 0,
1, 1, 0, 0, 1, 1, 1, 1, 0, 0, 0, 0, 0, 0, 0, 0,
1, 1, 0, 0, 1, 1, 0, 0, 1, 1, 0, 1, 1, 1, 0, 0,
1, 1, 0, 0, 1, 1, 1, 0, 1, 1, 0, 0, 1, 0, 0, 0]
# 显示灰度图
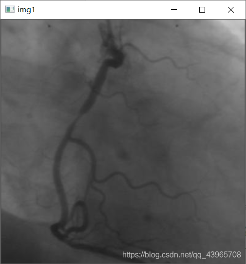
img = cv2.imread(r"C:UserspcDesktopvas0.png",0)
cv2.imshow("img1",img)
# 自适应阈值分割
img2 = cv2.adaptiveThreshold(img, 255, cv2.ADAPTIVE_THRESH_MEAN_C, cv2.THRESH_BINARY, 17, 4)
cv2.imshow('img2', img2)
# 图像反色
img3 = cv2.bitwise_not(img2)
cv2.imshow("img3", img3)
# 图像扩展
img4 = cv2.copyMakeBorder(img3, 1, 1, 1, 1, cv2.BORDER_REFLECT)
cv2.imshow("img4", img4)
contours, hierarchy = cv2.findContours(img4, cv2.RETR_EXTERNAL, cv2.CHAIN_APPROX_NONE)
# 消除小面积
img5 = img4
for i in range(len(contours)):
area = cv2.contourArea(contours[i])
if (area < 80) | (area > 10000):
cv2.drawContours(img5, [contours[i]], 0, 0, -1)
cv2.imshow("img5", img5)
num_labels, labels, stats, centroids = cv2.connectedComponentsWithStats(img5, connectivity=8, ltype=None)
# print(stats)
s = sum(stats)
img6 = np.ones(img5.shape, np.uint8) * 0
for (i, label) in enumerate(np.unique(labels)):
# 如果是背景,忽略
if label == 0:
# print("[INFO] label: 0 (background)")
continue
numPixels = stats[i][-1]
div = (stats[i][4]) / s[4]
# print(div)
# 判断区域是否满足面积要求
if round(div, 3) > 0.002:
color = 255
img6[labels == label] = color
cv2.imshow("img6", img6)
# 图像反色
img7 = cv2.bitwise_not(img6)
# 图像细化
for i in range(10):
VThin(img7, array)
HThin(img7, array)
cv2.imshow("img7",img7)
# 边缘检测
img8 = cv2.Canny(img6, 80, 255)
cv2.imshow("img8", img8)
# 使灰度图黑白颠倒
img9 = cv2.bitwise_not(img8)
cv2.imshow("img9", img9)
cv2.waitKey(0)
运行结果









问题及解决方法
1.自适应阈值处理运行报错
参考链接
解决方式:
void adaptiveThreshold(InputArray src, OutputArray dst, double
maxValue, int adaptiveMethod, int thresholdType, int bolckSize, double C)
src:InputArray类型的src,输入图像,填单通道,单8位浮点类型Mat即可。dst:函数运算后的结果存放在这。即为输出图像(与输入图像同样的尺寸和类型)。maxValue:预设满足条件的最大值。adaptiveMethod自适应阈值算法。ADAPTIVE_THRESH_MEAN_C或ADAPTIVE_THRESH_GAUSSIAN_C两种。thresholdType:指定阈值类型。可选择THRESH_BINARY或者THRESH_BINARY_INV两种(即二进制阈值或反二进制阈值)。bolckSize:表示邻域块大小,用来计算区域阈值,一般选择为3、5、7......等。C:参数C表示与算法有关的参数,它是一个从均值或加权均值提取的常数,可以是负数。- 根据报错提示及参数解释,
blockSize的取值需要大于1且为奇数。
2.图像扩展
参考链接
方式:使用cv2.copyMakeBorder()函数。
主要参数:
src: 输入的图片。top, bottom, left, right:相应方向上的边框宽度。borderType:定义要添加边框的类型,详情参考链接。
3.面积选择
参考链接
方式:选择满足面积80-10000的图像输出, 去除噪声位置元素。
4.图像细化
参考链接
方式:经过一层层的剥离,从原来的图中去掉一些点,但仍要保持原来的形状,直到得到图像的骨架。骨架,可以理解为图像的中轴。
到此这篇Python opencv医学处理的实现过程的文章就介绍到这了,更多Python在其他行业的应用请搜索W3Cschool以前的文章或继续浏览下面的相关文章。


